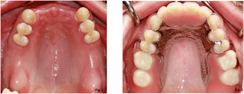
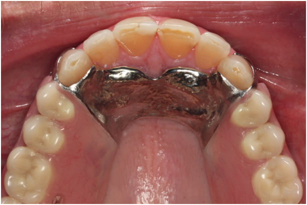
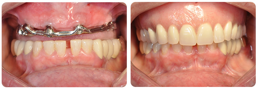
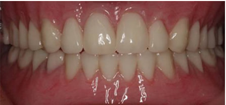
Bridges
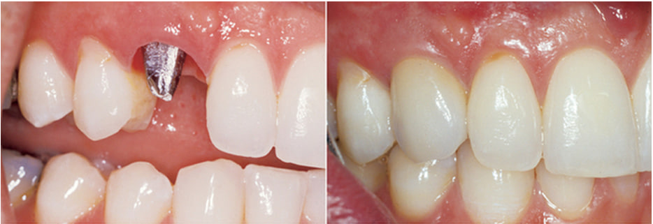
A bridge, also known as a fixed removable denture, is made to replace one or more missing teeth. Bridges can be supported in any of three ways by natural teeth, implants, combination of teeth and implants. Getting a bridge requires at least two visits, but often more. At the first visit, our dentist prepares the teeth and covers them with temporary crowns to see if the jaw placement is correct and the structure of the face is maintained. Our dentist will also make impressions of the teeth. We ensure that detailed explanation and blueprints for the dental service is provided so as to improve the transparency between the dentist and patient. The bridge is placed upon the patients approval and not forcing upon them. On average, our bridges last five to seven years if proper care is taken, some of the bridges are: